Çocuklarda Flor Uygulamaları: Gerçekten Gerekli mi, Güvenli mi?
Çocuklarda Flor Uygulamaları Flor konusu anne babaların en çok kafasını karıştıran başlıklardan biridir. Bir yandan “Flor dişleri korur” denir, bir yandan da “Acaba zararlı mı?” sorusu akla gelir. Aslında bu çok normal bir endişedir. Çünkü her şeyde olduğu gibi flor için de önemli olan doğru dozda, doğru şekilde ve doğru zamanda kullanılmasıdır. Çocuk diş hekimliğinde uygulanan flor, hekim kontrolünde yapıldığı sürece güvenli ve oldukça etkilidir.
Flor, diş minesini güçlendiren bir mineraldir. Dişin dış tabakasını daha dayanıklı hale getirir ve bakterilerin oluşturduğu asitlere karşı direncini artırır. Özellikle çocuklarda diş minesi yetişkinlere göre daha ince ve hassas olduğu için, florun koruyucu etkisi çok daha önemlidir. Yani flor, dişi dış etkenlere karşı adeta bir kalkan gibi korur.
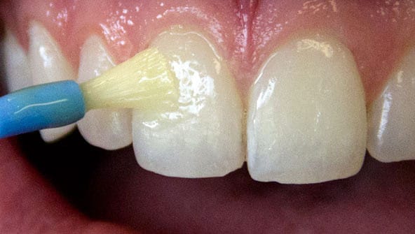
Flor uygulamaları genellikle jel, köpük ya da vernik şeklinde yapılır. Günümüzde en sık tercih edilen yöntem flor verniğidir. Çünkü hem uygulaması kolaydır hem de yutulma riski çok düşüktür. Diş yüzeyine sürülür, kısa sürede sertleşir ve uzun süre diş üzerinde kalarak etkisini gösterir. İşlem sadece birkaç dakika sürer. İğne yoktur, ağrı yoktur ve çocuk için oldukça konforludur.
Eryaman çocuk diş hekimi olarak flor uygulamasını çoğu zaman çocukların diş hekimiyle ilk olumlu temaslarından biri olarak görürüz. Çünkü çocuk için korkutucu hiçbir aşaması yoktur. Bu da çocuğun diş hekimi deneyimini olumlu hale getirir.
Flor uygulamasından sonra genellikle:
1–2 saat bir şey yenilip içilmemesi
O gün dişlerin fırçalanmaması
önerilir.
Bunun sebebi, florun diş yüzeyinde daha uzun süre kalmasını ve etkisinin artmasını sağlamaktır.
Florun en önemli faydası, çürük oluşmadan önce dişi güçlendirmesidir. Aynı zamanda çürük başlangıcı olan çok küçük alanlarda çürüğün ilerlemesini durdurabilir. Yani bazen dolguya bile gerek kalmadan dişi korumak mümkün olur. Bu yüzden flor uygulamaları, koruyucu diş hekimliğinin en önemli parçalarından biridir.
Eryaman diş kliniği başvurularında ailelerin en sık sorduğu soru şudur:
“Flor zararlı mı?”
Burada net bir ayrım yapmak gerekir. Klinik ortamda, diş hekimi kontrolünde yapılan flor uygulamaları güvenlidir. Çünkü kullanılan doz, çocuğun yaşına ve ihtiyacına göre ayarlanır. Asıl risk, florun bilinçsiz ve kontrolsüz kullanılmasıdır. Örneğin:
Çok küçük çocuklara fazla miktarda florlu macun kullanılması
Çocuğun diş macununu yutması
Birden fazla flor kaynağının aynı anda, kontrolsüz şekilde kullanılması
Bu durumlarda sorun oluşabilir. Ama hekim kontrolünde yapılan uygulamalarda böyle bir risk yoktur.
Flor her çocuk için aynı sıklıkta uygulanmaz. Çocuğun:
Daha önce çürük geçirip geçirmediği
Ağız bakım alışkanlığı
Beslenme düzeni
Diş yapısı
gibi faktörler değerlendirilir. Bazı çocuklar için yılda bir kez yeterliyken, çürük riski yüksek olan çocuklarda 3–6 ayda bir uygulanması gerekebilir. Bu tamamen çocuğa özel bir karardır.
Göksu çocuk diş kliniği çevresinde yaşayan birçok ailenin düşündüğünün aksine flor, “sadece çürük olduğunda yapılan” bir işlem değildir. Asıl amacı çürük oluşmadan önce önlem almaktır. Yani tedaviden çok koruma amaçlıdır.
Flor uygulamasının etkili olabilmesi için evdeki bakımın da doğru olması gerekir. Günde iki kez diş fırçalama alışkanlığı yoksa, gece beslenmeleri devam ediyorsa, şekerli atıştırmalar fazlaysa flor tek başına yeterli olmaz. Flor, doğru ağız bakımıyla birlikte anlam kazanır.
Özellikle 6 yaş dişleri sürdüğünde flor uygulamaları ayrı bir önem taşır. Bu dişler kalıcıdır ve sürdüklerinde mine yapıları henüz tam olarak olgunlaşmamıştır. Çürüğe çok açık oldukları bu dönemde yapılan flor uygulamaları, bu dişlerin uzun yıllar sağlıklı kalmasını sağlar.
Biz klinikte floru ailelere genellikle şöyle anlatırız:
“Flor, dişi saran görünmez bir zırh gibidir. Ama diş yine de fırçalanmazsa, bu zırh tek başına yeterli olmaz.”
Flor sayesinde:
Diş minesi güçlenir
Çürük oluşma riski azalır
Küçük çürük başlangıçları durdurulabilir
Daha az dolgu ve çekim ihtiyacı olur
Çocuk daha az diş ağrısı yaşar
Eryaman en yakın diş kliniği arayışında olan aileler için flor uygulamaları, çocuğun diş sağlığını uzun vadede koruyacak en basit ama en etkili yöntemlerden biridir.
Sonuç olarak flor uygulamaları, doğru çocukta, doğru zamanda ve doğru şekilde yapıldığında son derece güvenli ve faydalıdır. Çocuğun dişlerini korumak için atılabilecek en güçlü adımlardan biridir. Önemli olan bu uygulamanın mutlaka bir çocuk diş hekimi değerlendirmesiyle planlanmasıdır.